G.Actinomycotic infection of the tonsils: A case report and review of the literature p. 129
Stavanger Singh Bakshi, Ramiya Ramachandran Kaipuzha, Suriyanarayanan Gopalakrishnan, A Govindarajan
DOI:10.4103/ijohs.ijohs_43_17
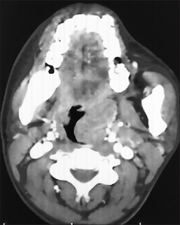
Actinomycotic infections of the head and neck, although fairly uncommon, represent an important entity because of its varied presentation, difficult diagnosis, and long course of treatment. A 20-year-old female presented with throat pain and difficulty in swallowing for 1 year. Examination revealed a Grade IV enlargement of the left tonsil. The patient underwent tonsillectomy, and the postoperative histopathology revealed actinomycosis. Actinomyces is anaerobic filamentous bacteria which are known to colonize as commensals in tonsillar crypts which on histology show an outer zone of granulation tissue and a central zone of necrosis containing many sulfur granules that represent microcolonies of Actinomyces. Actinomycosis of the head-and-neck region is a significant entity because it can mimic other common lesions, especially in the oropharynx. In cases of recurrent tonsillitis and tonsillar hypertrophy, tonsillectomy is the treatment of choice, and histopathological examination of resected tissue is strongly advocated. This report supports the view that Actinomyces may have a causal association with recurrent acute tonsillitis and tonsillar hypertrophy.
http://www.ijohsjournal.org/currentissue.asp?sabs=y
Stavanger Singh Bakshi, Ramiya Ramachandran Kaipuzha, Suriyanarayanan Gopalakrishnan, A Govindarajan
DOI:10.4103/ijohs.ijohs_43_17
Actinomycotic infections of the head and neck, although fairly uncommon, represent an important entity because of its varied presentation, difficult diagnosis, and long course of treatment. A 20-year-old female presented with throat pain and difficulty in swallowing for 1 year. Examination revealed a Grade IV enlargement of the left tonsil. The patient underwent tonsillectomy, and the postoperative histopathology revealed actinomycosis. Actinomyces is anaerobic filamentous bacteria which are known to colonize as commensals in tonsillar crypts which on histology show an outer zone of granulation tissue and a central zone of necrosis containing many sulfur granules that represent microcolonies of Actinomyces. Actinomycosis of the head-and-neck region is a significant entity because it can mimic other common lesions, especially in the oropharynx. In cases of recurrent tonsillitis and tonsillar hypertrophy, tonsillectomy is the treatment of choice, and histopathological examination of resected tissue is strongly advocated. This report supports the view that Actinomyces may have a causal association with recurrent acute tonsillitis and tonsillar hypertrophy.
http://www.ijohsjournal.org/currentissue.asp?sabs=y

No comments:
Post a Comment