Wednesday, January 2, 2019

New mechanism for the nucleation and growth of large zeolite X crystals in the presence of triethanolamine

GA?id=C8CC08446G

Chem. Commun., 2019, Advance Article
DOI: 10.1039/C8CC08446G, Communication
Savannah J. Turner, Jialu Chen, Alexandra M. Z. Slawin, Wuzong Zhou
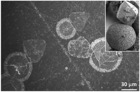
Zeolite X crystals nucleate inside preformed spherical particles in between the amorphous core and the shell of zeolite P nanorods.
To cite this article before page numbers are assigned, use the DOI form of citation above.
The content of this RSS Feed (c) The Royal Society of Chemistry


from Journals via hj on Inoreader https://rsc.li/2Ru0Vvk

No comments:

Post a Comment